AZmed Expands Into CT Imaging With CE-Marked AZnod, An AI Tool for Lung Nodule Detection and the First Product in the Rayscan® Line

PARIS, Dec. 15, 2025 /PRNewswire/ -- AZmed, one of the leading companies in artificial intelligence (AI) for radiology, announced today the CE marking of AZnod, its first AI tool for computed tomography (CT) within the new Rayscan® product line. This expansion complements AZmed's existing Rayvolve® AI Suite, extending the company's portfolio beyond standard X-rays to include advanced CT-based analysis.

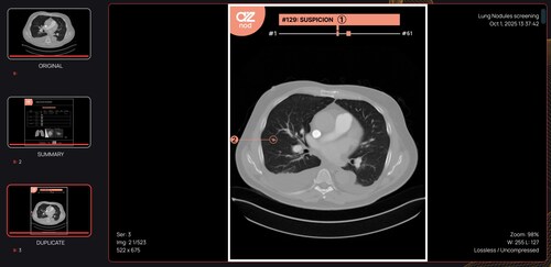
AZnod is designed to aid lung cancer screening programs by providing standardized detection and comprehensive characterization of pulmonary nodules on CT scans.

Lung cancer screening procedures place an interpretive load on medical imaging teams who must evaluate low-dose CT exams and detect small early-stage nodules, which can take several forms such as solid, part-solid, or pure ground-glass. Subsolid nodules can be challenging to visualize and are important to detect early to improve survival. It is essential for radiologists to provide reproducible assessments within guideline frameworks such as Lung-RADS and Fleischner, knowing that even minor dimensional or volumetric changes can change patient management.

Sign up for Blog Updates