Electronic eye implant and AR glasses restore reading vision in people with sight loss

After being treated with an electronic eye implant paired with augmented-reality glasses, people with sight loss have recovered reading vision, reports a trial involving a UCL (University College London) and Moorfields Eye Hospital clinical researcher.

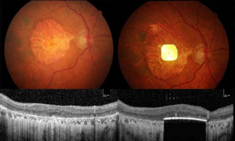
The results of the European clinical trial, published in The New England Journal of Medicine, showed 84% of participants were able to read letters, numbers and words using prosthetic vision through an eye that had previously lost its sight due to the untreatable progressive eye condition, geographic atrophy with dry age-related macular degeneration (AMD).

Those treated with the device could also read, on average, five lines of a vision chart; some participants could not even see the chart before their surgery.

The trial, with 38 patients in 17 hospital sites across five countries, was testing a pioneering device called PRIMA, with Moorfields Eye Hospital being the sole UK site. All patients had lost complete sight in their eye before receiving the implant.

Sign up for Blog Updates